A B C D E F G H I J K L M N O P Q R S T U V W X Y Z

incisor

Definition

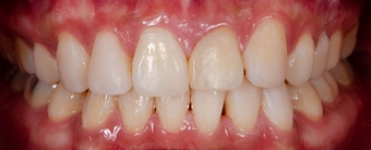
An incisor is a type of tooth that is used for cutting food. It is the first type of tooth to come in, and it is located in the front of the mouth.

Incisors are sharp and pointed, which helps them to cut food into small pieces. They are also flat on the bottom, which helps them to scrape food off of their teeth.

Humans have four incisors on each jaw, for a total of eight incisors.

How can the word be used?

The incisors are the four front teeth in each jaw.

incisor

Different forms of the word

Noun: An incisor is a type of tooth that is used for cutting food. It is typically located in the front of the mouth and has a sharp, flat edge.

Adjective: Incisor can also be used as an adjective to describe something that is sharp or cutting. For example, an incisor blade is a type of blade that is used for cutting.

Etymology

The word "incisor" comes from the Latin word "incidere", which means "to cut". This is a very accurate description of the function of incisors, as they are used for cutting food.

The word "incisor" was first used in English in the 14th century. It was originally spelled as "incision", but the spelling was later changed to "incisor" to make it easier to pronounce.

Question

What is an incisor?

Stay connected

Join our newsletter to stay up to date on features and releases

Address
Developing Experts Limited
Exchange Street Buildings
35-37 Exchange Street
Norwich
NR2 1DP
UK

Phone
01603 273515

Email
[email protected]

Copyright 2026 Developing Experts, All rights reserved.